結膜炎|眼睛發炎捽眼隨時失明!眼科醫生教視乎情況選擇4款眼藥水

點讚

分享

眼睛癢原因多多,但如果經常因為眼癢而捽眼,就要小心是不是患上結膜炎啦!TVB節目《 流行都市 》請來眼科專科醫生駱映睛介紹結膜炎的分類、症狀同醫治方法。


延伸閱讀:鼻敏感|4成人都有的鼻敏感咩原因造成?耳鼻喉醫生詳解治療方法 鼻敏感可以通過非藥物治療?


結膜炎分類

駱醫生講解,結膜炎分為急性、慢性或者傳染性、非傳染性;傳染性結膜炎例如病毒感染、細菌感染等;非傳染性結膜炎包括敏感性結膜炎,或者隱形眼鏡導致的結膜炎等。

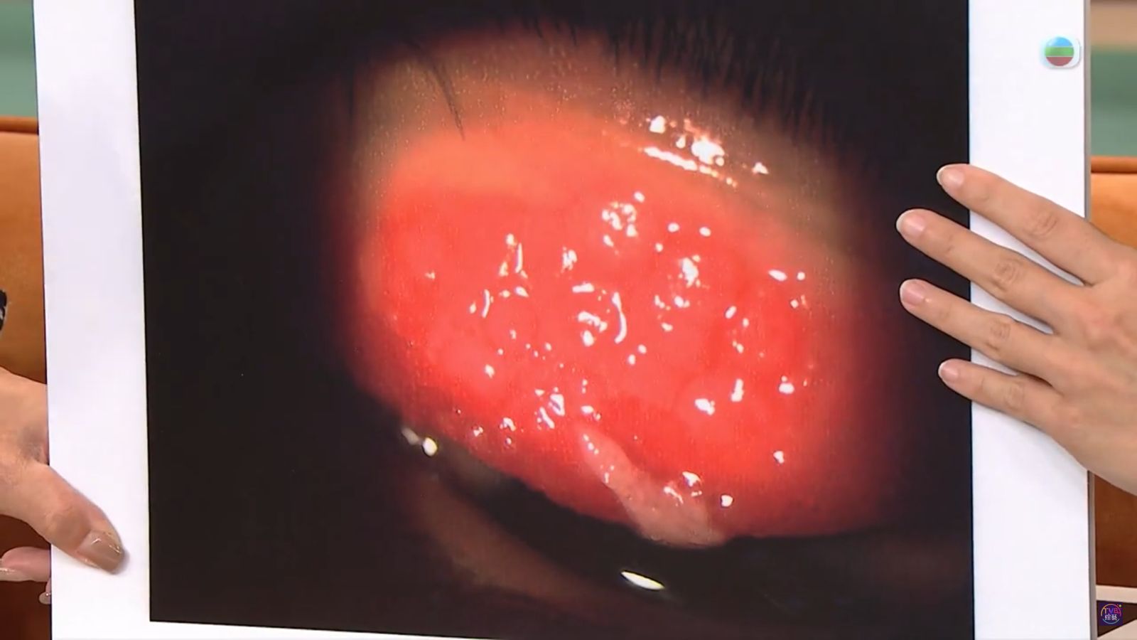
結膜炎症狀

傳染性結膜炎可能由病毒、細菌、霉菌等導致,95%的急性結膜炎由病毒感染導致,病人可能幾日之間會出現流眼淚、眼睛腫脹、多分泌物等症狀;細菌性結膜炎則可能會令分泌物更多,有機會出現綠色分泌物。

過敏性結膜炎患者好多時可能會有過敏病史,比如濕疹、鼻敏感等,也有機會與遺傳、家族病史、生活環境、天氣等因素的影響有關。

結膜炎眼藥水選擇

駱醫生講解,結膜炎通常使用眼藥水治療,視乎具體情況決定。可能會使用抗生素或者抗敏感藥水;比較嚴重的發炎情況則需要醫生指導下選擇的類固醇眼藥水;更有複雜情況可能需要免疫系統抑制劑。

結膜炎有機會影響視力?

駱醫生提醒,結膜炎如果沒有及時進行適當醫治,最嚴重可能導致失明。一般醫生會特別檢查上眼皮內側,因為上眼皮情況會影響角膜健康,可能會磨損角膜或者感染角膜等,都會影響到視力。

大家如果有任何疑問,還需要請教返專業人士。

登入

本服務使用 Cookies

本服務採用 Cookies 以保持其可靠性,促致個人化內容和廣告。 請按「同意」代表閣下同意我們的 Cookies 政策 以及 個人資料收集聲明